Gudang Informasi

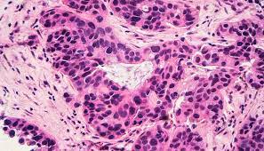
What Cancers Are Found In Bone Marrow : Bone Marrow Sinusoidal Endothelium Damage And Potential Regeneration Following Cancer Radiotherapy Or Chemotherapy Springerlink / Myeloma is a cancer that affects cells in the bone marrow, called plasma cells.

What Cancers Are Found In Bone Marrow : Bone Marrow Sinusoidal Endothelium Damage And Potential Regeneration Following Cancer Radiotherapy Or Chemotherapy Springerlink / Myeloma is a cancer that affects cells in the bone marrow, called plasma cells.
What Cancers Are Found In Bone Marrow : Bone Marrow Sinusoidal Endothelium Damage And Potential Regeneration Following Cancer Radiotherapy Or Chemotherapy Springerlink / Myeloma is a cancer that affects cells in the bone marrow, called plasma cells.

What Cancers Are Found In Bone Marrow : Bone Marrow Sinusoidal Endothelium Damage And Potential Regeneration Following Cancer Radiotherapy Or Chemotherapy Springerlink / Myeloma is a cancer that affects cells in the bone marrow, called plasma cells.. Some types of bone cancer occur primarily in children, while others affect mostly adults. These procedures collect a sample of bone marrow. Bone marrow cancer can have a favorable outcome if detected and treated early. Children with bone marrow failure disorders are at risk of certain cancers: You may have a bone marrow test if you have a cancer which affects the bone marrow such as leukaemia, lymphoma or myeloma.

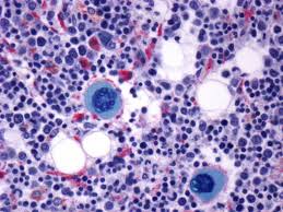
As in all cancers, the disease occurs because too many cells are created uncontrollably. These abnormal white blood cells are not able to fight infection and impair the ability of the bone marrow to produce red blood cells and platelets. It may be that a person has a blood cancer such as leukemia, lymphoma, or myeloma. Bone marrow contains stem cells that develop into various types of blood cell,. Marrow's main job is to make blood cells.

Bone Marrow Cancer Treatment In India Bone Marrow Treatment Cost Medsurgeindia
Bone Marrow Cancer Treatment In India Bone Marrow Treatment Cost Medsurgeindia from medsurgeindia.com
The bone is made up of compact bone, spongy bone, and bone marrow. There are two types of tests. Leukemia, a type of cancer found in your blood and bone marrow, is caused by the rapid production of abnormal white blood cells. Marrow's main job is to make blood cells. The results of a bone marrow aspiration and/or biopsy help doctors find out about these conditions: As the cancerous plasma cells fill the bone marrow, you are not able to make enough normal blood cells. Several types of cancer, including multiple myeloma, leukemia, and lymphoma, can develop in the bone marrow. The term bone cancer doesn't include cancers that begin elsewhere in the body and spread (metastasize) to the bone.

It is important to note that bone marrow cancer includes leukemias, multiple myeloma, and others.

Acute myeloid leukemia, a type of cancer found in white blood cells as they form in the bone marrow. Several types of cancer, including multiple myeloma, leukemia, and lymphoma, can develop in the bone marrow. Leukemia is a type of cancer found in your blood and bone marrow and is caused by the rapid production of abnormal white blood cells. In a person with leukemia, for example, the bone marrow makes abnormal white blood cells, called leukemia cells. Compact bone makes up the outer layer of the bone. Leukemia, a type of cancer found in your blood and bone marrow, is caused by the rapid production of abnormal white blood cells. You may have a bone marrow test if you have a cancer which affects the bone marrow such as leukaemia, lymphoma or myeloma. They may crowd out normal white blood cells, red blood cells and platelets, making it difficult for normal blood cells to do their work. Definition cancer is not just one disease, but a large group of almost 100 diseases. There are two types of tests. Some types of bone cancer occur primarily in children, while others affect mostly adults. White blood cells, which can be granulocytes or lymphocytes , develop in the bone. Marrow's main job is to make blood cells.

The term bone cancer doesn't include cancers that begin elsewhere in the body and spread (metastasize) to the bone. The bone marrow & cancer foundation is a national nonprofit organization that offers financial assistance and free support services to bone marrow/hematopoietic cell transplantation (hct) transplant patients and their families, and relies 100% on private donations to provide these vital services. The purpose of the tests is to: Confirm a blood cancer diagnosis or a bone marrow disorder determine the cause of severe anemia or thrombocytopenia (low platelet count) detect abnormal chromosomes to determine your risk and to plan treatment Sometimes, myeloma can be found as a single tumor (called a plasmacytoma) in a bone, but most often it has spread to other bones, so it's treated as a widespread disease.

Remodelling Of The Bone Marrow Microenvironment By Stromal Hyaluronan Modulates The Malignancy Of Breast Cancer Cells Cell Communication And Signaling Full Text
Remodelling Of The Bone Marrow Microenvironment By Stromal Hyaluronan Modulates The Malignancy Of Breast Cancer Cells Cell Communication And Signaling Full Text from media.springernature.com
Survival rate is between 28 to 35 %. The information here focuses on primary bone cancers (cancers that start in bones) thatmost often are seen in adults. As in all cancers, the disease occurs because too many cells are created uncontrollably. These procedures collect a sample of bone marrow. In multiple myeloma, many tumors develop in the bones, but it's not a primary bone cancer because it starts in plasma cells (a type of immune cell) in the bone marrow. In a person with leukemia, for example, the bone marrow makes abnormal white blood cells, called leukemia cells. White blood cells, which can be granulocytes or lymphocytes , develop in the bone. Definition cancer is not just one disease, but a large group of almost 100 diseases.

The bone marrow & cancer foundation is a national nonprofit organization that offers financial assistance and free support services to bone marrow/hematopoietic cell transplantation (hct) transplant patients and their families, and relies 100% on private donations to provide these vital services.

Acute myeloid leukemia, a type of cancer found in white blood cells as they form in the bone marrow. It is important to note that bone marrow cancer includes leukemias, multiple myeloma, and others. Information on osteosarcoma1, ewing tumors2 (ewingsarcomas), and bone metastasis3 is covered separately. The purpose of the tests is to: The results of a bone marrow aspiration and/or biopsy help doctors find out about these conditions: Instead, those cancers are named for where they began, such as breast cancer that has metastasized to the bone. Survival rate is between 28 to 35 %. In the bone marrow, myeloma cells crowd out healthy blood cells, leading to fatigue and an inability to fight infections. Bone marrow is found in the center of most bones and has many blood vessels. Myeloma, also called multiple myeloma, is a cancer of the plasma cells.plasma cells are white blood cells that make antibodies that protect us from infection. But it can be done for any type of cancer if your doctor thinks your bone marrow could contain cancer cells, or needs to rule this out for any reason. What is bone marrow cancer? Bone marrow cancer includes leukemias and multiple myeloma.

Myeloma, also called multiple myeloma, is a cancer of the plasma cells.plasma cells are white blood cells that make antibodies that protect us from infection. Bone marrow cancer happens when cells in the marrow begin to grow abnormally. The bone marrow & cancer foundation is a national nonprofit organization that offers financial assistance and free support services to bone marrow/hematopoietic cell transplantation (hct) transplant patients and their families, and relies 100% on private donations to provide these vital services. The bone is made up of compact bone, spongy bone, and bone marrow. In other blood cancers, the malignant cells spread to the marrow but do so only later in the disease, after getting their start in the lymph nodes or spleen, for instance.

A Subpopulation Of Stromal Cells Controls Cancer Cell Homing To The Bone Marrow Cancer Research
A Subpopulation Of Stromal Cells Controls Cancer Cell Homing To The Bone Marrow Cancer Research from cancerres.aacrjournals.org
Sometimes, myeloma can be found as a single tumor (called a plasmacytoma) in a bone, but most often it has spread to other bones, so it's treated as a widespread disease. Several types of cancer, including multiple myeloma, leukemia, and lymphoma, can develop in the bone marrow. Survival rate is between 28 to 35 %. In a person with leukemia, for example, the bone marrow makes abnormal white blood cells, called leukemia cells. Leukemia is a type of cancer found in your blood and bone marrow and is caused by the rapid production of abnormal white blood cells. Bone marrow cancer bone marrow cancer is defined as the cancerous growth of cell or malignant cells which develop in the blood forming cells of the bone marrow which is the soft tissue in the center of the bones in the body. Compact bone makes up the outer layer of the bone. In other blood cancers, the malignant cells spread to the marrow but do so only later in the disease, after getting their start in the lymph nodes or spleen, for instance.

Blood cancers, including leukemia, lymphoma, or multiple myeloma a fever with an unknown cause

Located deep within the marrow are stem cells, which can develop into red blood cells, white blood cells, and platelets. Bone marrow is found in the center of most bones and has many blood vessels. Myeloma is a cancer that affects cells in the bone marrow, called plasma cells. There are two types of tests. They may crowd out normal white blood cells, red blood cells and platelets, making it difficult for normal blood cells to do their work. In myeloma, the cells grow too much, crowding out normal cells in the bone marrow that make red blood cells, platelets, and other white blood cells. The bone marrow & cancer foundation is a national nonprofit organization that offers financial assistance and free support services to bone marrow/hematopoietic cell transplantation (hct) transplant patients and their families, and relies 100% on private donations to provide these vital services. Instead, those cancers are named for where they began, such as breast cancer that has metastasized to the bone. These abnormal white blood cells are not able to fight infection and impair the ability of the bone marrow to produce red blood cells and platelets. Confirm a blood cancer diagnosis or a bone marrow disorder determine the cause of severe anemia or thrombocytopenia (low platelet count) detect abnormal chromosomes to determine your risk and to plan treatment Other symptoms include bone pain, breaks (fractures) due to bone damage, and kidney damage. Because cancer cells don't mature and then die as normal cells do, they accumulate, eventually overwhelming the production of healthy cells. What is bone marrow cancer?

Advertisement